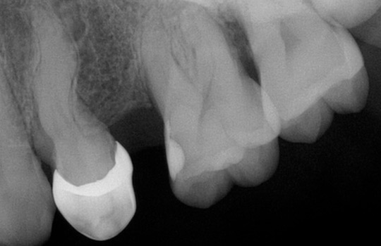
Tratamiento que se realiza con la finalidad de salvar un diente. De no ser tratado tendría que ser extraído; necesario cuando un trauma o caries daña al tejido interno del diente (pulpa).
El tratamiento consiste en la eliminación del tejido pulpar dañado, así como la desinfección y el sellado para poder recibir una prótesis y evitar futuras infecciones.