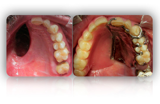
Rehabilitación integral en pacientes oncológicos con secuelas a causa de quimioterapia y/o radioterapia. Muchos tratamientos contra el cáncer tienen efectos secundarios que afectan la boca, los dientes y las glándulas salivales de un paciente. Estos efectos secundarios pueden hacer que sea difícil comer, hablar, masticar o tragar. Afortunadamente, con una buena atención y con nuestros tratamientos, es posible reducir el riesgo de estos efectos secundarios y manejarlos si se producen.